Farrier Consultations
Arlington Equine offers expert farrier consultations designed to address the unique hoof care needs of each horse.
Farrier Consultations
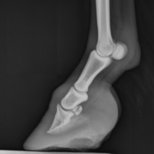
Challenging podiatry cases require close communication between the veterinarian, farrier, and owner. We strongly believe in coordinating the efforts of all parties involved so that the horse receives the best treatment possible. Our digital radiography system makes sharing images easy.
Farrier consultations focus on evaluating and addressing the hoof health of horses. These consultations often include an assessment of hoof structure, balance, and shoeing requirements tailored to the specific needs of the horse. At Arlington Equine, the service also integrates veterinary perspectives, allowing for a more comprehensive approach to your horse’s care.
Farrier consultations may involve corrective shoeing, treatment for lameness, or adjustments to improve gait and posture. The collaborative process ensures that all factors influencing hoof health—such as diet, activity level, and conformation—are considered.
Veterinary Services in Shaftsbury, VT
Routine Wellness Care
Lameness Diagnostics & Therapies
Spinal Manipulation
Pre-Purchase Exams
Dental Care
Digital Imaging
Farrier Consultations
Shockwave Therapy
Mesotherapy
Endoscopy
Field Surgery
Regenerative Medicine
Reproductive Care
Regenerative Medicine
Reproductive Care

